Des chercheurs australiens ont développé un nouvel outil d’IA pouvant détecter de minuscules lésions cérébrales chez les enfants souffrant d’épilepsie et que les techniques de diagnostic standards ne peuvent détecter. L’outil a atteint un taux de réussite de 94% lors de tests et permettrait aux patients de bénéficier rapidement d’une intervention chirurgicale pour résorber les lésions.
Affectant environ un enfant sur 200, l’épilepsie est généralement provoquée par des dysplasies corticales, des malformations ou des lésions cérébrales survenant au cours du développement cérébral. Elles sont caractérisées par des modifications morphologiques des cellules cérébrales et de leur organisation dans le cortex.
Les crises surviennent généralement chez les enfants de manière inattendue au cours des années préscolaires ou des premières années d’école et se multiplient avec le temps jusqu’à se produire plusieurs fois par jour. Elles peuvent avoir des impacts sur le comportement, l’humeur et l’apprentissage chez l’enfant à mesure qu’elles se multiplient.
Cependant, si les dysplasies corticales peuvent être résorbées chirurgicalement, beaucoup d’entre elles sont difficiles à détecter avec l’imagerie par résonance magnétique (IRM) standard et moins de la moitié sont localisées au cours du premier scanner des enfants. « Les dysplasies corticales peuvent être impossibles à identifier par les techniques d’IRM traditionnelles », explique Emma Macdonald-Laurs, neurologue au Royal Children’s Hospital (RCH) du Murdoch Children’s Research Institute (MCRI).
Selon elle, « l’impossibilité de localiser le tissu anormal ralentit le diagnostic définitif et peut empêcher l’orientation d’un enfant vers une chirurgie potentiellement curative de l’épilepsie. » Or, plus les enfants continuent d’avoir des crises incontrôlées, plus ils risquent de développer des difficultés d’apprentissage, voire une déficience intellectuelle.
Pour tenter de remédier à ces problèmes, Macdonald-Laurs et ses collègues ont développé un outil d’IA offrant un gain de précision notable pour la détection des dysplasies corticales. « Identifier la cause tôt nous permet d’adapter les options de traitement et aide les neurochirurgiens à planifier et à gérer l’intervention chirurgicale », suggère-t-elle. Les résultats de la recherche sont publiés dans la revue spécialisée Epilepsia.

12 enfants opérés sur 17
L’équipe de l’étude a formé l’outil d’IA pour pouvoir détecter les dysplasies corticales de la taille d’une myrtille, voire plus petites. « L’outil ne remplace pas les radiologues ou les médecins spécialisés dans l’épilepsie, mais c’est comme un détective qui nous aide à assembler les pièces du puzzle plus rapidement afin que nous puissions proposer une chirurgie potentiellement transformatrice », précise Macdonald-Laurs à l’Agence France-Presse.
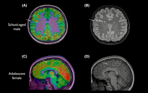
Pour ce faire, les chercheurs ont recruté 71 enfants et 23 adultes souffrant de crises d’épilepsie récurrentes dues à une dysplasie corticale. Des données d’IRM de surface et de tomographie par émission de positons (TEP) au FDG (un marqueur radioactif) ont été utilisées pour former le modèle d’IA. La TEP-FDG permettrait de mieux distinguer les tissus dysplasiques de ceux sains.
Les enfants étaient répartis en cohortes d’entraînement et de test, tandis que les données des adultes ont été utilisées pour valider les performances du détecteur. Parmi les participants, 80% n’avaient pas pu être diagnostiqués avec certitude avec leurs résultats IRM. En revanche, la cohorte de test (17 enfants) a été diagnostiquée avec un taux de réussite de 94% avec l’outil d’IA. Sur les 17 enfants du groupe test, 12 ont été opérés et 11 n’ont aujourd’hui plus de crises d’épilepsie.
À titre de comparaison, un précédent outil d’IA plus ou moins similaire mais formé uniquement sur des données d’IRM a permis de détecter les dysplasies corticales avec un taux de réussite de 64%. « Ce travail est vraiment passionnant », indique à l’AFP Konrad Wagstyl, expert en informatique biomédicale au King’s College de Londres (KCL), qui n’a pas participé à la recherche.
« Mais il y a quelques réserves : le PET est cher, il n’est pas aussi largement disponible que l’IRM, et il y a une dose de rayonnement comme un scanner ou une radiographie qui lui est associée », souligne-t-il. La prochaine étape de l’équipe de Macdonald-Laurs consistera néanmoins à améliorer l’outil et à le tester au sein de véritables environnements hospitaliers et sur des patients non diagnostiqués.


