Des chercheurs ont développé une variante de la thérapie CAR-T pour stimuler la croissance et la régénération de l’épithélium intestinal vieillissant. L’approche consiste notamment à éliminer les cellules intestinales sénescentes, qui deviennent plus nombreuses avec l’âge et augmentent les risques de maladies. Chez la souris, la thérapie a amélioré significativement le métabolisme et réduit l’inflammation, tout en améliorant la cicatrisation de la muqueuse intestinale.
Le renouvellement et la régénération des tissus sont essentiels au maintien de l’homéostasie de l’organisme. En particulier, l’épithélium intestinal (une couche unique de cellules tapissant l’intestin, formant une barrière entre le contenu intestinal et l’organisme et essentielle à l’absorption des nutriments) possède l’un des taux d’auto-renouvellement les plus élevés, se régénérant notamment tous les trois à cinq jours grâce à une source locale de cellules souches intestinales (CSI).
Cependant, cette capacité de régénération naturelle diminue considérablement avec le vieillissement, ce qui entraîne un déclin fonctionnel de l’épithélium intestinal, une perméabilité accrue de la barrière intestinale et une dérégulation du microbiome intestinal (ou dysbiose intestinale). Ces dérèglements fonctionnels sont associés à une inflammation chronique et cumulative qui aggrave davantage le déclin fonctionnel de l’intestin.
D’un autre côté, des recherches croissantes ont mis en évidence l’implication de l’intestin dans de nombreuses fonctions telles que l’immunité, le système hormonal et la santé cérébrale (dans ce qu’on appelle « axe intestin-cerveau »). Des études suggèrent qu’une mauvaise santé intestinale ou une dysbiose intestinale est impliquée dans de nombreuses pathologies telles que la maladie d’Alzheimer et la maladie de Parkinson, les maladies auto-immunes et inflammatoires, etc.
Compte tenu de ces implications, le ciblage thérapeutique de l’intestin et du microbiote intestinal constitue actuellement un important axe de recherche. D’autre part, étant donné l’importante incidence des troubles intestinaux chez les personnes âgées, les études dans ce domaine se concentrent sur le rajeunissement de la fonction épithéliale dans une perspective de vieillissement en bonne santé. Les approches à cet effet se sont concentrées sur l’amélioration de l’activité des CSI, mais l’efficacité à long terme de ces interventions reste limitée.
Une nouvelle étude publiée récemment dans la revue Nature Aging et menée par une équipe du Cold Spring Harbor Laboratory (CSHL), à New York, propose une approche innovante pour stimuler la régénération de l’épithélium intestinal chez la souris âgée : une variante de la thérapie cellulaire CAR-T appelée « thérapie CAR-T anti-uPAR ».
Un métabolisme et une régénération intestinaux améliorés
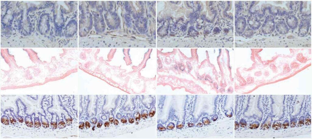
La nouvelle approche s’appuie sur de précédents travaux de la même équipe démontrant que l’expression membranaire du récepteur de l’activateur du plasminogène de type urokinase (uPAR) est associée à la sénescence cellulaire. Les cellules sénescentes sont des cellules qui s’accumulent dans l’organisme à mesure que nous vieillissons et qui cessent de se répliquer sans pour autant mourir. Cette accumulation est impliquée dans diverses maladies liées à l’âge, telles que le diabète et la démence.

Des études connexes ont également montré que l’expression de l’uPAR est associée à la fibrose hépatique, aux lésions pulmonaires, à l’arthrite induite par le collagène et au vieillissement. De son côté, l’équipe du CSHL a démontré que le traitement par cellules CAR-T anti-uPAR a permis d’éliminer les cellules sénescentes chez la souris, ce qui a amélioré significativement leur métabolisme.
L’objectif de la nouvelle étude était de déterminer si le ciblage des cellules sénescentes par le biais de la même approche pouvait contribuer à rajeunir l’intestin. Pour étayer leur hypothèse, les chercheurs ont administré des cellules CAR-T anti-uPAR dans l’intestin de souris âgées et de souris plus jeunes.
« Dans les deux cas, nous observons des améliorations vraiment significatives », affirme, dans un billet de blog, Corina Amor Vegas, professeure adjointe au CSHL et coauteure de l’étude. « L’absorption des nutriments est meilleure. L’inflammation est beaucoup moins importante. En cas d’irritation ou de lésion, la muqueuse intestinale se régénère et cicatrise beaucoup plus rapidement », ajoute-t-elle.
L’équipe a également testé les effets de la thérapie sur le syndrome de l’intestin perméable, une pathologie particulièrement fréquente chez les personnes âgées ou chez celles ayant subi une radiothérapie pelvienne ou abdominale pour traiter un cancer. Pour ce faire, les chercheurs ont irradié le tissu épithélial de l’intestin de souris, avant de les traiter avec la CAR-T anti-uPAR.



Résultat : les souris traitées se rétablissaient beaucoup mieux des effets de l’irradiation que celles non traitées. Selon les données rapportées par les auteurs, une seule administration aurait suffi à améliorer la santé intestinale des souris pendant plus d’un an. L’équipe indique en outre disposer de données préliminaires suggérant que la thérapie favorise la régénération de cellules intestinales et colorectales humaines, notamment à partir de modèles expérimentaux dérivés de tissus humains.
Davantage de travaux seront toutefois nécessaires pour identifier les mécanismes exacts de cette régénération et en évaluer les effets à long terme ainsi que l’innocuité, ces résultats restant à ce stade précliniques et limités à des modèles murins. Néanmoins, « il s’agit d’un pas important vers une meilleure compréhension des soins à apporter aux personnes âgées », conclut Beyaz.


